Dental Implants

Dental Implants are the most amazing advance in Dentistry since I have been in Practice. They are used to replace one or more missing teeth and to help hold dentures firmly in the mouth. The Implant itself is a titanium screw that is inserted into the jaw to replace a tooth root. Once the Implant has knitted with the bone, a process known as osseointegration, a laboratory made porcelain crown can be attached to it.

For the Implant insertion, we will refer you to a Maxillofacial Surgeon or a Periodontist, depending on the specific requirements of your situation. Once the implant has osseointegrated, you will be referred back to us for the placement of your new tooth.

A Dental Implant crown looks and feels like your own tooth. Just as with your natural dentition, excellent homecare is essential and from time to time we may need to perform some simple maintenance. The long-term success rates are excellent and published data indicates a this to be over 96% for healthy individuals.

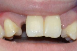
Before Treatment

 Missing teeth

Missing teeth

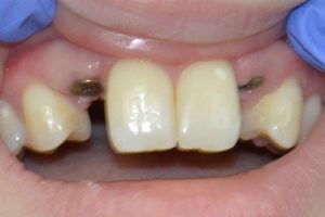
After Implant Placement

 After implant placement

After implant placement

 Implant retained crowns

Implant retained crowns

History Of Implants

Per-Ingvar Brånemark, a Swedish Orthopaedic surgeon is considered to be the father of modern Dental Implant treatment. In the process of studying bone healing and regeneration in the early 1950’s, he discovered that bone had the ability to grow on and effectively adhere to titanium. He coined the term osseointegration and continued to research this phenomenon focusing on applications in the mouth. In 1965 Brånemark placed the first titanium Dental Implant and in 1978 his first commercial partnership was formed. Implants are now utilized the world over and their use extends well beyond Dentistry.